처음 보는 사람을 만날 때 첫인상에서 가장 중요한 것이 미소인데요. 예쁜 미소는 치아와도 관련이 매우 깊다고 합니다. 고른 치아를 갖고 싶어 하는 분들이 많은데요. 오늘은 라미네이트 란? 무엇인지 가격대는 또 얼마나 하는지 자세하게 알아보는 시간을 갖도록 하겠습니다. 본문 내용을 잘 들여다보시면 라미네이트에 대해 많은 정보를 확인할 수 있을 것입니다.
라미네이트 란?


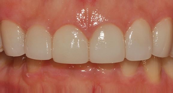
라미네이트 란? 무엇인지 자세하게 설명해드리도록 하겠습니다. 라미네이트는 미관상의 목적으로 주로 활용되며 많은 사람들이 받는 치과 치료 중 하나 입니다. 인조 손톱을 손톱에 붙이는 것처럼, 치아 표면에 얇은 세라믹 막을 부착하여 치아의 색상이나 형태를 자연스럽게 개선하는 시술을 말합니다.
라미네이트 치료, 어떤 이유로 받을까요?
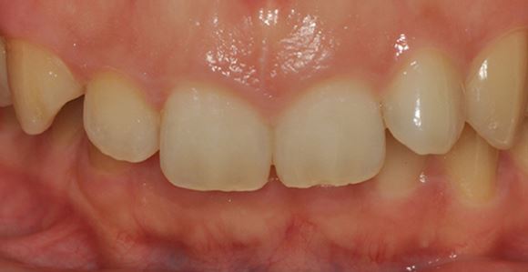
- 변색된 이빨 : 커피나 담배 같은 요인들로 인해 누렇게 변한 이를 다시 밝고 하얗게 만들어 줍니다.
- 틈이 생긴 치아 : 벌어진 앞쪽 이를 반듯하게 모아서 보기 좋은 배열로 개선할 수 있어요.
- 손상된 치아 : 손상되거나 깨진 치아를 원래 상태로 자연스럽게 복구할 수 있어요.
- 튀어나온 치아 : 튀어나온 치아를 부드럽게 갈아내어 입술 모양을 보기 좋게 바꿀 수 있어요.
- 치아 배열이 불규칙한 경우 : 들쭉날쭉하거나 형태가 못난 치아를 보기 좋게 정렬할 수 있습니다.
치료 방법 알아보기


가장 먼저 진행해야할 사항은 치과 전문의와 자세한 면담을 통하여 라미네이트 처치가 적절한지 여부와 어떠한 모양으로 시행할지 확정하게 됩니다. 그 다음 과정으로는 치아 표면을 살짝 갈아 내거나 시술 과정을 거치게 됩니다.
장점으로는 자연스러운 치아와 같이 티가 나지 않으며 상대적으로 길지 않은 시간 내에 예쁜 치아를 얻을 수 있습니다. 또한, 세라믹 소재로 제작되어 변색이나 닳음에 강하다는 특징이 있습니다. 자신만의 스타일에 맞게 여러 색상과 형태로 다양한 설계 가능 합니다.
반면, 단점도 몇가지 알아두시면 도움이 될것입니다. 치아 일부분을 제거해야 하기 때문에 원래대로 복구가 불가능 합니다. 그리고 가격이 다른 방법들에 비해 상대적으로 많은 비용이 필요합니다.
라미네이트 가격은 얼마?

라미네이트의 가격은 적게는 27만원에서 많게는 270만원까지 차이가 있으며, 일반적인 평균 가격은 37만원대 입니다. 치아의 건강 상태나 치료받는 부위, 그리고 사용되는 보철물의 종류 등 여러 요인에 의해 진료 비용이 변동될 수 있습니다.
치아 라미네이트 가격이나 비용은 여러 요소에 의해 변동될 수 있습니다. 라미네이트 가격은 해당 시술을 진행하는 셸 제작에 사용되는 재료와 형태, 대상 치아 개수, 그리고 담당의사의 경력과 전문성 등 여러 요인에 의해 달라질 수 있습니다. 보통 치아 한 개당 시술 비용은 약 40만원에서 80만원 사이이며, 진행 범위에 따라 최종 금액이 변동될 수 있습니다.
치과 비용에 대해 확실하게 알기 위해서는 다양한 치과들과 이야기 나누어 보고 자신에게 필요한 치료 방법을 고르는 게 중요하다고 볼 수 있습니다. 또한, 이 외에도 예상되는 검진이나 상담 비용, 그리고 사후 관리나 보수에 드는 비용들도 함께 고려해야 합니다. 라미네이트 치아 시술을 고민 중이라면, 가격보다는 전문성 있고 만족도가 높은 치과를 고르는 편이 좋아요.
유의사항

- 치과 선택 : 다양한 임상 경험을 갖춘 치과 전문의를 고르는 것이 중요하다고 할 수 있습니다.
- 철저한 상담 : 본격적인 시술 진행 전 환자 개인의 상태를 충분히 파악하여 적합한 방식인지 체크해야 합니다.
- 치아 관리 : 세심한 양치 습관과 규칙적인 치과 방문을 통해 구강 건강을 지켜야 합니다.
치아 라미네이트 치료는 미관상의 목적으로 치아 표면을 최소한으로 삭제한 뒤 도자기 소재 인공치아를 덧붙이는 방법으로, 이를 통해 치아 모양이나 색상을 개선시켜 자신감을 향상시킬 수 있습니다. 그러나 진행하기 전에는 여러 상황을 고려해서 관련 전문가에게 상세한 상담을 받아보시고 심사숙고하여 선택하시는 것이 좋습니다.
치아보험 가입조건 3가지, 비교 방법
얼마 전에 치아우식증이 악화되어 수면에 방해가 될 만큼 심한 통증으로 인해 치과를 방문하였고, 임플란트 시술이 필요하다는 진단을 받았습니다. 그 후로부터 치아보험에 들기 위해서 여러
rootkey.tistory.com
환하고 반듯하게 배열된 치아를 얻기 위해서 미백 또는 교정을 선택하기도 하지만, 조금 더 간편한 방식 중 하나로 '라미네이트' 시술을 고민하시는 분들도 많으실 겁니다. 앞니 시술 시 치아 삭제를 최소화하는 것이 바람직하지만, 상황에 따라 치아 삭제가 필요한 경우도 있습니다.
치아의 아름다움을 더하기 위해 라미네이트 시술을 고민하는 사람들이 많아지고 있습니다. 주변 치아들과의 조화를 고려하지 않는다면 자연스럽지 않고 어색해질 수 있어요. 뿐만 아니라, 당장의 예쁜 치아를 위해 무턱대고 치아를 삭제할 경우 나중에 큰 부작용으로 돌아올 수 있기 때문에 본인의 치아와 잘 어우러지는 기술력과 자연 치아를 최대한 보존하여 시술하는 곳에서 상담을 받아보시기 바랍니다.



